~~~*MRドックはTV・新聞・雑誌等様々なメディアで取り上げられています~~~
予約が殺到しております。早めのご予約をお勧めします。
当院は、北九州市八幡西区にあり、健康診断だけでは分からない病気の早期発見に「人間ドック」を行っています。新しく2018年3月に導入した、MR装置を駆使した人間ド ックの提供を行っています。当院で導入している装置はこちらです。当院のMR人間ドックは、2019年~2023年の間で約6,500人以上の方が受診していただき、毎月200~250人の方が受診に来られています。特にがん早期発見MRドック(DWIBS)に関しては、2,000人以上の受診実績があります。当院MR人間ドック申し込みは、
第1位:がん早期MRドック(DWIBS):34,100円
第2位:がん早期発見MRドック(DWIBS)+脳ドックMR:53,900
第3位:(ペア割り)がん早期発見MRドック(DWIBS):65,560円(二人合計)
●がんや脳の疾患などを積極的に見つけたい方 健康診断や他の人間ドックでは発見が難しいものまで
●がんドックと脳ドックで全身を検査可能 全身を検査しても1時間30分で終わります
●MRI に特化した人間ドック MR を使用するので被曝はありません
●忙しい人でも大丈夫 受付から会計まで 1 ~1.5時間で終わります(一人の場合)
●継続しやすい価格 年に一度受けられる、継続しやすい価格です
●専門医による診断 画像専門医による診断を行っています (検査前後の診察はありません)
●後日郵送で判定結果が届きます 判定結果をもとに当院もしくは専門の医療機関に受診が可能です
| 月 | 火 | 水 | 木 | 金 | 土 | 日 | |
|---|---|---|---|---|---|---|---|
| 午前(09:00~10:45) | ● | ● | ● | ● | ● | ● | × |
| 午後(13:15~15:15) | ● | ● | ● | ● | ● | ※ | × |
※土曜日は12:30~15:15
当院では2023年8月、MRI装置の機器更新を行いました。
人工知能を用いることで、画像がキレイになり、検査時間も短くなりました。※1
当院は1.5T(テスラ)※2装置ですが、人工知能によって3T(テスラ)並みの画質になりました。
※1 一部人工知能が対応していない画像もあります。
※2 T(テスラ)は装置の磁場の強さを表し、大きいほうが磁場が強く、基本的には画質が良くなります。
19,800円(税込)
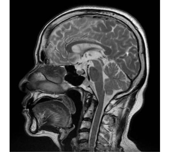
【脳ドック MR でわかる事】
脳腫瘍、脳梗塞、脳出血、脳動脈瘤(くも膜下出血の原因)、脳血管の閉塞や狭窄、 椎骨動脈解離、脳血管奇形、頸動脈狭窄など
【このような方に脳ドック MR はおすすめです】
*脳卒中の危険因子(肥満/高血圧/脂質代謝異常/糖尿病)がある方
*一度も脳の MRI 検査を受けた事がない方
*血縁に脳卒中の方がいる方
*喫煙、飲酒の習慣がある方
日本人の死亡原因 3位 は脳血管疾患です
脳動脈瘤(くも膜下出血の原因)
聴神経腫瘍
34,100円(税込)
お二人同日受診で 65,560円(税込)
MRI の高性能化によって可能となった「全身のがん検査」です。「全身のがん検査」を行う PET と同じ様な画像を表示します。
【がん早期発見MRドック でわかる事】
肺癌、大腸癌、胃癌、膵臓癌、肝臓癌、胆嚢癌、胆管癌、乳癌、悪性リンパ腫、食道癌、 膀胱癌、腎臓癌など
【このような方にがん早期発見MRドックおすすめです】
*一度も全身のがん検査を受けた事がない方
*血縁にがんの方がいる方
*喫煙、飲酒の習慣がある方
*肥満の方
*がんが心配な方
日本人の死亡原因 1位 はがんです


【がん早期発見MRドック(DWIBS)を受ける前に知っておいてほしいこと】
Q.がん早期発見MRドックは、がんの早期発見に役立ちますか?
A.頸部~骨盤部を撮影範囲とする様々な病気を発見できる撮影法で、早期発見に有効と考えます。
MRI検査の撮影法の1つである「拡散強調画像(DWI)」というもので撮影しています。「DWI」ではがんの細胞密度増加に伴う水分子の拡散制限を検出することができます。また他の撮影も実施しているので、がんやその他様々な病気の発見が期待できるため、自覚症状が出る前から定期的な検査をお勧めしています。
Q.PETとはどのようにちがうのですか?
A.原理は違いますが、非常に似た画像が得られます。診断能力もPETと同等と言われています。
PET検査は全身検索のツールとして長い実績を持ち、エビデンス(科学的根拠)も豊富です。全身を「DWI」で撮影するこの方法はまだ歴史が浅い検査ですが、診断能はPETと同等と言われています。どちらの検査も利点・欠点がありますし、発見に向き・不向きな病変もそれぞれあります。どちらかが一方的に優れている検査というわけではありません。詳しくは当院ホームページ、もしくはインターネット・書籍などの資料をご参照下さい。
Q.がん早期発見MRドックで全てのがんがわかりますか?
A.がん早期発見MRドックでは描出しにくい場合や、苦手とする部位もあります。
この検査は万能というわけではありません。検査の特性上、いくつかの正常臓器(脾臓、リンパ節、腸管内容物など)も描出されますし、病変が小さ過ぎて見えない場合もありますし、その病変の性質上(拡散制限があまりない病変)画像に写りにくい、もしくは写らない場合もあります。また、肺の病変、腸管の病変に関しては苦手としていて、各部位の精密検査(消化管の内視鏡検査や胸部のCT検査など)と比べると精度は劣りますので、胸部CT検査や内視鏡検査など、他の精密検査で補うことで、より精度良くがんを発見することが可能だと考えます。
Q.がん早期発見MRドックで腫瘍の良悪性の区別はつきますか?
A.全ての病変ががんというわけではありません。
この検査はがんだけに特異的なわけではなく、いくつかの正常組織や、炎症、良性疾患なども描出されます。この検査で病変を疑われる場合でも、他の検査では問題なしとなる可能性もあります。そのため何らかの病変が指摘された場合は、経過観察や精密検査が必要になります。
Q.検査は1度受けて問題なければ大丈夫ですか?
A.出来れば定期的に受けることをお勧めします。
他の項目に記載されているように、万能・万全ではありません。最初の検査では見つからなかった病変が、数年後に大きくなり、症状が出て初めて発見される可能性もあります。ただし最初の検査で見つからなかったものが、定期的に検査を受けることで早い段階で発見できる可能性があります。お金のかかることですので強制などは出来ませんが、定期的な検査をお勧めします。
Q.何か病気が見つかった場合、どうすればよいでしょうか?
A.精密検査や、定期的なフォローアップをお勧めします。
特にD・E判定の場合は一度精密検査をお勧めします。疑われる病気によっては当院で対応できない場合もありますので、一度ご相談いただければ幸いです。精密検査後は治療を必要とするのか、経過観察で良いのか、その病院(医師)の判断で決まります。当院を受診される場合は、一度電話でのお問い合わせをお願いしいます。
最後に
この検査は全身を比較的短時間(30分程度)で検索できる検査だと考えています。しかし、上述してあるように万能な検査ではありません。それなりの金額もかかる検査ですので、皆様ご納得の上で検査を受けていただきますようよろしくお願いします。
【がん早期発見MRドックとPETーCT の違い】※1
| がん早期発見MRドック(DWIBS) | PETーCT | |
検査原理 | がんによる細胞密度増加に伴う 水素原子の拡散抑制を画像化 | がんのブドウ糖代謝亢進を画像化 |
| 禁忌 | 体内埋込機器など ※2 | ICD・ペースメーカーなど ※3 |
| 被ばく | なし | 被爆あり ※4 |
| 注射 | なし | 注射あり(放射性医薬品の投薬) |
| 食事制限 | なし(暴飲暴食は控えてください) | あり(6時間前から絶食) |
| 運動制限 | なし | あり(前日から検査直前まで) |
| 投薬制限 | なし | 一部あり(糖尿病薬など) |
| 検査時間 | 約30分 | 20分~30分 |
| 受付~会計 | 約1時間30分 | 3~4時間 |
| キャンセル料 | なし | キャンセル料が発生する場合あり |
※1 PETに関しては一般的に言われているもので、詳細は該当施設にご確認ください。
※2 詳細は「MR検査適応チェック」をご覧ください。
※3 詳細は検査予約時に施設に確認してください。(当院にPETーCT装置はありません)
※4 健康被害は無い程度とされています。
2018年10月~2019年12月 がん早期発見MRドック(DWIBS)の検診実績
平均年齢 | 48.9歳 |
| 男女人数 | 男性244人,女性256人 |
20代の方から80代の方まで、様々な世代の方に受診して頂いてます
●検診者居住地域
また定期的に受診されておられます
●検診結果
下の表は当院での判定項目、内容、件数です。約60%の方がD判定で受診を勧めていますが、精密検査を行い、何も異常がなかった方もたくさんおられます。 人間ドックですので少しでも疑わしい場合はD判定になります。また、D判定で精密検査を行い、手術や治療を行った方もおられます。そのため、この人間ドックは病気のひろいあげ検査としては、とても有効だと私達は考えており、がん以外の病気も多く見つかっております。
判定項目 | 内容 | 総数500件 |
| A判定 | 異常なし:異常ありません | 2件 |
| B判定 | 有所見健康:わずかに異常を認めますが、特に心配ありません。 | 38件 |
| C判定 | 経過観察:軽度の所見を認めます。時々検査を受け、経過観察してください。 | 137件 |
| D判定 | 要再検査:改めて精密検査を要します(受診をすすめます) | 310件 |
| E判定 | 要治療:治療をすすめます(受診をすすめます) | 13件 |
19,800円(税込)
【前立腺ドックMR でわかる事】
前立腺癌、膀胱癌、直腸癌、前立腺肥大症など
* 前立腺ドック MR は PSA(前立腺 腫瘍マーカー)が低値でも前立腺がんを描出すること ができます。そのため初期の前立腺がんを描出することができます。
前立腺がん(T2WI)
前立腺がん(Diffusioin)



MRI 検査では磁気と電波を利用しています。そのため、体内・体外問わず金属や機械が あると画像、人体に対して様々な影響を及ぼす場合があります。
検査前には必ず問診を行い、検査できるか確認しますが、MRI 検査を受ける目的で来院される方はなるべく装飾品など 身につけず身軽な格好で来院されるのをおすすめします。
問診の内容によっては検査を行うことができない場合がありますので、ご了承ください。
下にあるような電子機器や体内金属がある人は検査を受けることが出来ない場合がありま す。下記項目に該当される方は必ず事前に申し出てください。
「検査を受けることが出来る=キレイな画像を撮ることが出来る」ではありません。体内にインプラントが入っていても材質によっては検査可能ですが、そのインプラントの影響で画質が低下してしまうことは多々あります。特にインプラント周辺(入っている場所だけでなくその周辺数cm~十数cmの組織にも影響する場合もある)は診断できないほど極端に画質が落ちる場合もあるので、受ける方はそれもご了承いただいたうえで受けていただきます。
●:検査を受けることが出来ません。
●:場合によっては検査を受けることが出来ません。
●:入室前に取り外していただくもの
●心臓ペースメーカーや埋込型除細動器
●人工内耳
●古い人工心臓弁(1970 年頃より以前)
●その他 MRI 体内埋込み型医療機器(条件付き MRI 検査可能なものを含む)
●磁石で着脱したり、機能する体内埋め込み物
●妊娠、または妊娠している可能性がある方 など…
※近年、心臓ペースメーカーなど、一定条件下でMRI に対応している埋込み型医療機器がありますが、当院では検査を行うことができません。
●手術で脳動脈瘤のクリップを入れている方(特に 2000 年以前で材質不明)
●目など決定臓器に金属片、弾丸などが入っている方、または可能性のある方
●その他手術やケガ、仕事などで体内に金属が埋め込まれている方 (特に2000年以前で材質不明)
●狭い場所、身体の拘束、大きな音、長時間の静止が苦手な方 (程度にもよります。特に初回の人は、検査室を見て初めて「無理かも」と思う人もいます。)
●イレズミ、タトゥー、アートメイクがある方 など…(染料によっては火傷・変色する可能性があります。そのリスクを了承していただければ検査可能です。)
※上記に当てはまる人は、事前に施術した病院などに検査可能であるか確認をしてください。
当院に問い合わせていただいても良いですが、回答できない内容もあります。
●機械類 時計、携帯電話、補聴器 など…
●貴金属類 メガネ、アクセサリー、ヘアピン など…
●化粧など体に塗っているもの(素材によっては火傷をする可能性があります。どうしても落としたくない場合は、それに了承した上で検査を受けてください。)
●貼付薬(種類によっては、剥がさないと火傷をする可能性があります。常時貼付する必要がある薬の場合、処方した医師に)
●その他身につけているもの 入れ歯、鍵、ライター、カイロ、湿布、カラーコンタクト など…
※その他わからないこと、気になることがあればお気軽にスタッフに申し出てください。
・検査時間は 20~40 分程度で、検査内容によって異なります。
・撮影はベッドに寝た状態で行います。
・検査中は、撮影部位が、装置(トンネル)の中心に位置するようにベッドが動きます。
・撮影中は工事現場のような大きく様々な音が鳴ります。音の対策として、ヘッドホンや 耳栓を使用して検査を進めていきます。
・撮影中は神経が刺激され「ピリピリ」する感じがあります。
・検査中はブザーを持っていただきます。何かあった時はブザーで知らせて頂ければ、検査を行っている技師と連絡が取れるようになっています。
ホームページ、もしくはお電話にてお申込みください。
電話の場合は、その際の空き情報をお伝えし、検査日時を調整させていただきます。
ホームページでお申込みの場合、予約確定後や検査前などにメールを送信しますので、メール受信が可能な状態にしてください。
※お客様のメールアプリのセキュリティによって、当院からのメールが迷惑メールボックスに入ったり、受信拒否で届かない場合があります。
当院の人間ドック(脳ドック,がんドック,前立腺ドック)は、絶食などの前処置はありません。
体調を整えて臨んでいただくと助かります。
当日は軽装(着替えをしやすい服装)でお越しください。
お化粧などもなるべく控えめでお願いします。
検査予約時間30分前に、総合受付にお越しいただき、受付されてください。
検査の問診を行い、トイレなどを済ませてもらいます。
貴金属類などを外し、検査着に着替えていただきます。
検査時間は、脳ドックが約15~20分、がんドックが約30分、前立腺ドックは約15~20分です。
検査終了後、総合受付にてお会計をお願いします。
検査当日、医師による診察はありません、後日届く結果用紙をご参照ください。
検査結果(結果用紙・問い合わせ用紙・画像データ)は、2週間程度でご自宅に発送します。
検査結果についてご不明な点がありましたら、問い合わせ用紙にあるQRコード、メール、もしくはお電話にてお問い合わせください。
要検査になった場合、保険診療で専門科への受診が可能です。規模の大きい病院への受診は紹介状が必要な場合があります。その際は、一度当院受診が必要です。
当院受診を希望される場合(紹介状が必要な場合も)、予約が必要ですので必ずご連絡ください。連絡無しで来院された場合、受診できない可能性があります。